Emergency service available Call: 071-401-9149 / 032-226-6266

X- Ray & ECG


We Ensure that Our X ray Department is High Efficient and Optimized Radiology Workflow.
    

Contact Details

Tel 0322265200, Fax : 032-226-6299
Opening Hours
Open 24 hours, 365 days a yearm

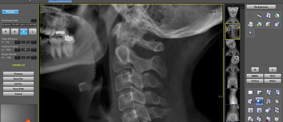
Our X ray department consists of a Shimadsu x ray machine with Agfa CR 10 X Computed digital radiography unit. The CR system works in conjunction with NX Agfa healthcare's image identification and quality control tool, for a high efficient and optimized radiology workflow. It comes with Agfa gold standard MUSICA software, which automatically handles all calibrations. and image processing, Optimizing the final image quality without the need for any human intervention or special training. The X ray department is open for 24 hours services. All radiographic procedures are done in this department including special x ray procedures and general medical x rays. Our hospital has atomic energy authority of Sri Lanka license (License No :Atomic Energy Authority NW/PT/DX/07/L/568 ) . .

An Electrocardiogram is a test that checks for problems with the electrical activity of your heart. We have facilities to do complete ECG with rhythm strip analysis.


Design by P.N.S.N Wickramasinghe | Contact: +94719070044 | E mail: nelumal@yahoo.com | clique solution for Better Business